Thứ Sáu, 30/1/2026
Mới nhất
Multimedia
Đời sống
Horoscope
Pháp luật
Bạn đọc
Tiêu dùng 365
Doanh nghiệp
Luật sư của bạn
Mới nhất
Multimedia
Đời sống
Horoscope
Pháp luật
Bạn đọc
Tiêu dùng 365
Doanh nghiệp
Luật sư của bạn
bệnh nhân 17
Tin tức cập nhật liên quan đến bệnh nhân 17
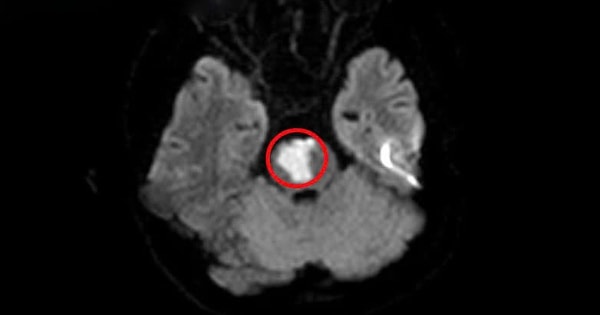
Bệnh nhân 17 tuổi bị nhồi máu não, thừa nhận phạm sai lầm nhiều người Việt dễ mắc phải
Bệnh nhân 17 tuổi bị đau đầu, chóng mặt tự mua thuốc về uống nhưng không khỏi, đến khi nhập viện phát hiện bị nhồi máu não.
Đời sống
Tự đắp lá vào vết thương, nam bệnh nhân 17 tuổi suýt bị hoại tử cánh tay
Sau khi bị thương, người bệnh đã được người nhà nhai lá cây và tự ý đắp vào tổn thương theo kinh nghiệm dân gian khiến cho vết thương tiềm ẩn nguy cơ nhiễm trùng, hoại tử gây nguy hiểm cho người bệnh.
Bệnh nhân COVID-19 nặng nhất miền Bắc được xuất viện sau 3 tháng điều trị
PLBĐ - Bệnh nhân COVID-19 số 19 điều trị tại Bệnh viện Bệnh Nhiệt đới Trung ương cơ sở 2 đã được xuất viện trở về với gia đình sau gần 3 tháng điều trị. Bệnh nhân từng có 3 lần ngừng tuần hoàn, tính mạng nhiều lần bị đe dọa.
Bệnh nhân 17 và 27 có kết quả xét nghiệm âm tính 3 lần với COVID-19
PLBĐ - Cả nước hiện có 33 bệnh nhân có kết quả xét nghiệm âm tính với SARS-CoV-2. Đặc biệt, 2 bệnh nhân số 17 và 27 đã 3 lần âm tính, đủ điều kiện xuất viện.
POWERED BY
ONE
CMS
- A PRODUCT OF
NEKO