Thứ Sáu, 5/12/2025
Mới nhất
Multimedia
Đời sống
Horoscope
Pháp luật
Bạn đọc
Tiêu dùng 365
Doanh nghiệp
Luật sư của bạn
Mới nhất
Multimedia
Đời sống
Horoscope
Pháp luật
Bạn đọc
Tiêu dùng 365
Doanh nghiệp
Luật sư của bạn
máy cắt cỏ
Tin tức cập nhật liên quan đến máy cắt cỏ
Người đàn ông bị đứt rời cổ chân khi đang làm vườn
GĐXH – Theo các bác sĩ, đứt lìa chi thể thường dẫn đến hoại tử nhanh chóng, nếu không xử lý kịp thời phần chi bị tổn thương sẽ không thể cứu được.
Đời sống
Tai nạn khi cắt cỏ, người đàn ông bị lưỡi cưa cắt đứt chân
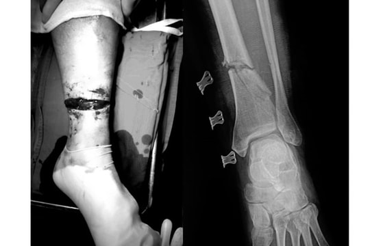
Bệnh nhân B.V.L (56 tuổi, Hòa Bình) nhập viện trong tình trạng vết thương hở đứt 3/4 chu vi cẳng chân trái, chảy nhiều máu; mất vận động cổ chân và các ngón chân, gãy hở xương chày, đứt hoàn toàn các gân cơ khu trước và sau cẳng chân, đứt bó mạch chày sau, chày trước.
Nối thành công bàn chân cho người đàn ông bị máy cắt cỏ cứa đứt lìa
Người đàn ông ở Quảng Nam nhập viện trong tình trạng choáng mất máu, tụt huyết áp do bị đứt cổ bàn chân phải vì bị lưỡi cưa của máy cắt cỏ cứa vào.
POWERED BY
ONE
CMS
- A PRODUCT OF
NEKO