Tại thời điểm phát hiện bệnh lý tim mạch, ông N. cho biết không xuất hiện bất cứ triệu chứng nghi ngờ nào. Tuy nhiên, ông N. lại có thói quen hút thuốc lá 20 năm nay.
Theo thông tin từ Phòng khám Đa khoa Medlatec Thanh Xuân cho biết vừa tiếp nhận H.V.N, 63 tuổi, ở Hà Nội đến kiểm tra sức khỏe định kỳ. Tại thời điểm đến khám, ông N. cho biết không xuất hiện bất cứ triệu chứng nghi ngờ nào: Không bị ngất bao giờ, không có cơn choáng váng, không yếu tay chân, giảm hay mất thị lực đột ngột. Đặc biệt, người bệnh không rõ tiền sử tăng huyết áp và các bệnh lý tim mạch khác.
Tuy nhiên, ông N. lại có thói quen hút thuốc lá 20 năm, khoảng 1 bao/ ngày, đã bỏ được 4 năm, nhưng không đi kiểm tra sức khỏe trong suốt 3 năm nay.
Kiểm tra dấu hiệu sinh tồn, đáng lưu ý có huyết áp tăng 165/95 mmHg, khám lâm sàng tim mạch phát hiện tiếng thổi tâm thu vị trí động mạch cảnh.
Để đánh giá tình trạng bệnh lý tăng huyết áp cũng như các yếu tố nguy cơ và biến chứng của tăng huyết áp, bác sĩ chỉ định ông N. làm xét nghiệm và các kỹ thuật chẩn đoán hình ảnh cần thiết.

Kết quả xét nghiệm chỉ số choltesterol máu tăng cao, đặc biệt là "mỡ xấu" LDL- cholesterol. Siêu âm mạch cảnh có mảng vữa xơ, xoang cảnh phải kích thước 18x5mm, gây hẹp 75%. Mảng vữa xơ xoang cảnh trái 15x5mm, gây hẹp 76%.
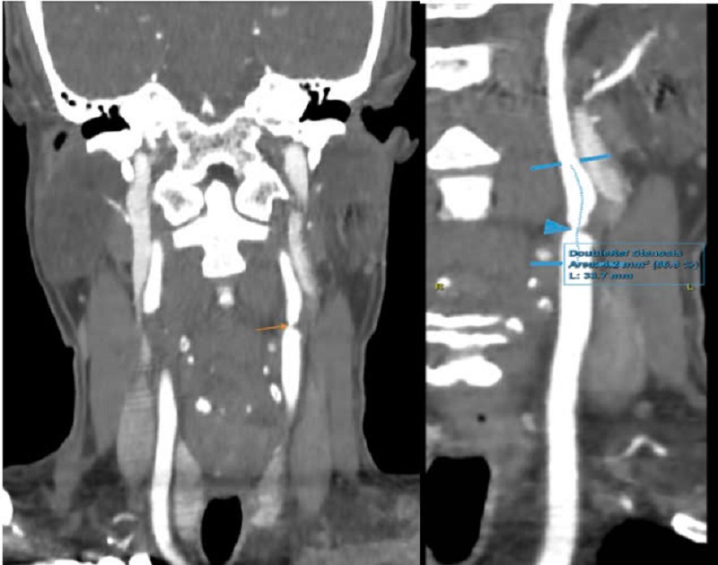
Kết quả chụp MSCT mạch cảnh của bệnh nhân cho hình ảnh mảng xơ vữa mềm gây hẹp 86% đoạn gốc động mạch cảnh trong trái, 70% vị trí hành cảnh trái, 50% vị trí hành cảnh phải và 50% đoạn gốc động mạch cảnh trong phải.
Bệnh nhân sau đó được chỉ định chụp MSCT mạch cảnh thì cho hình ảnh mảng xơ vữa mềm gây hẹp 86% đoạn gốc động mạch cảnh trong trái, 70% vị trí hành cảnh trái, 50% vị trí hành cảnh phải và 50% đoạn gốc động mạch cảnh trong phải.
Do vậy, bác sĩ chẩn đoán xác định bệnh nhân mắc bệnh động mạch cảnh do vữa xơ không triệu chứng gây hẹp đáng kể động mạch cảnh hai bên/ tăng huyết áp. Sau đó, bệnh nhân được kê đơn điều trị bệnh để tránh biến chứng.
Bệnh động mạch cảnh do xơ vữa là tình trạng hẹp, hoặc tắc động mạch cảnh chung và/ hoặc động mạch cảnh trong đoạn ngoài sọ do xơ vữa.
Hẹp động mạch cảnh là một trong những nguyên nhân chính gây đột quỵ. Tần suất hẹp động mạch cảnh > 60% những bệnh nhân đột quỵ lần đầu. Mức độ hẹp của đồng mạch liên quan mật thiết với tần suất đột quỵ. Theo nghiên cứu, 33% những trường hợp hẹp động mạch cảnh từ 80-99% có cơn TIA (cơn thiếu máu não thoáng qua), hoặc đột quỵ do thiếu máu não.

Bệnh động mạch cảnh do vữa xơ là một tình trạng bệnh lý nghiêm trọng, trong đó các mảng xơ vữa (bao gồm cholesterol và các chất khác) tích tụ trong động mạch cảnh, làm tắc nghẽn hoặc hẹp động mạch. Điều này có thể làm giảm lưu lượng máu đến não, gây ra các triệu chứng như TIA, hoặc đột quỵ.
Các triệu chứng của TIA, đột quỵ có thể xuất hiện khi bệnh động mạch cảnh do vữa xơ tiến triển và làm giảm lưu lượng máu đến não hoặc tắc động mạch não, có thể gây ra tổn thương não vĩnh viễn nếu không được điều trị kịp thời.
Các triệu chứng bao gồm: Cảm giác yếu, tê liệt, một bên của cơ thể; không thể kiểm soát được vận động của một cánh tay hoặc một chân; không thể nói rõ ràng do tổn thương trung tâm ngôn ngữ ở bán cầu não ưu thế; các dấu hiệu về mắt: Mù mắt một bên thoáng qua.
BS.CKII Trần Hải Nam - Chuyên khoa Tim mạch cho biết: Triệu chứng của cơn thiếu máu não cục bộ thoáng qua là dấu hiệu cảnh báo đột quỵ, bệnh động mạch cảnh do vữa xơ. Vì vậy, nếu người dân thấy xuất hiện các bất thường như cảm giác yếu, tê liệt, một bên của cơ thể... cần đến ngay cơ sở y tế uy tín để được thăm khám, đánh giá tình trạng và có biện pháp điều trị kịp thời, tránh các biến chứng nguy hiểm như đột quỵ.
Bằng kinh nghiệm thăm khám của mình, BS.CKII Trần Hải Nam nhấn mạnh những người có yếu tố nguy cơ cao sau nên chủ động kiểm tra định kỳ, gồm:
- Người từ 50 tuổi trở lên, đặc biệt là nam giới.
- Người có tiền sử đột quỵ, hoặc có cơn thiếu máu não thoáng qua (TIA).
- Bệnh nhân mắc các bệnh lý tim mạch: Tăng huyết áp, mỡ máu cao, tiểu đường, bệnh mạch vành.
- Người hút thuốc lá lâu năm - yếu tố nguy cơ hàng đầu gây xơ vữa mạch.
- Người béo phì, ít vận động, hoặc có chế độ ăn không lành mạnh.
- Người có tiền sử gia đình bị đột quỵ, hoặc bệnh tim mạch sớm.