Người phụ nữ 5 phải đối phó với 2 cơn đột quỵ là một minh họa sống động cho hiện tượng đột quỵ tái phát sớm do rung nhĩ, đây là nguyên nhân tim mạch thường gặp nhưng dễ bị bỏ sót.
Người phụ nữ 57 tuổi chưa hết vui mừng vì phục hồi thần kỳ sau cơn đột quỵ do tắc động mạch não giữa bên trái thì lại tiếp tục phải đối phó với cơn đột quỵ lần 2.
Chỉ chưa đầy một ngày được phục hồi sau cơn đột quỵ, khi đang được theo dõi sát tại Bệnh viện Nhân dân 115, người bệnh đột ngột tái phát đột quỵ, lần này là yếu nửa người trái. Thang điểm NIHSS lúc này từ 0 tăng vọt lên 13 điểm, cho thấy tổn thương mới tại bán cầu đối diện.

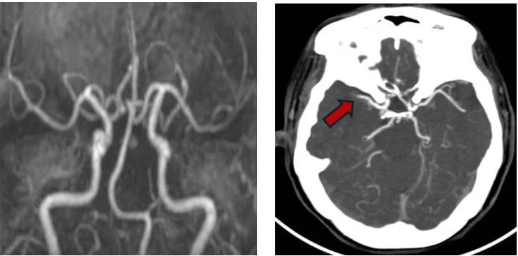
Lập tức, các bác sĩ tại Khoa Bệnh lý mạch máu não kích hoạt quy trình báo động đột quỵ nội viện. Chụp CT mạch máu não khẩn ghi nhận hình ảnh tắc động mạch não giữa bên phải – với hình ảnh huyết khối mới hình thành trong lòng mạch máu. Không để thời gian trôi qua vô ích, người bệnh được chuyển thẳng vào đơn vị can thiệp mạch máu thần kinh. Tại đây, quy trình can thiệp nội mạch được thực hiện khẩn trương và chính xác.
Ngay sau can thiệp mạch máu, tín hiệu tái thông mạch máu được xác nhận. Người bệnh phục hồi rõ rệt – sức cơ trở lại mức 5/5, không còn dấu hiệu liệt nửa người trái. Toàn bộ ê-kíp vỡ òa trong niềm vui chiến thắng – một chiến thắng của tốc độ, chuyên môn, và sự phối hợp ăn ý của ekip đột quỵ.
Sau can thiệp, người bệnh được điều trị bằng kháng đông thế hệ mới (DOAC), kiểm soát hiệu quả rung nhĩ – nguyên nhân gây đột quỵ tái phát, và không còn xuất hiện biến cố nào.
Trường hợp này là một minh họa sống động cho hiện tượng đột quỵ tái phát sớm do rung nhĩ – một nguyên nhân tim mạch thường gặp nhưng dễ bị bỏ sót. Người bệnh có tiền căn rung nhĩ vĩnh viễn, nguy cơ huyết khối cao. Chính điều này dẫn đến sự hình thành nhanh chóng của huyết khối mới, gây nên đột quỵ tái phát nguy hiểm.
Từ câu chuyện này, các bác sĩ đưa ra lời cảnh báo quan trọng: bệnh lý rung nhĩ cần được tầm soát và quản lý chặt chẽ, đặc biệt ở người cao tuổi. Việc sử dụng thuốc kháng đông dưới sự theo dõi của bác sĩ chuyên khoa là yếu tố then chốt để phòng ngừa đột quỵ tái phát.