Thứ Sáu, 30/1/2026
Mới nhất
Multimedia
Đời sống
Horoscope
Pháp luật
Bạn đọc
Tiêu dùng 365
Doanh nghiệp
Luật sư của bạn
Mới nhất
Multimedia
Đời sống
Horoscope
Pháp luật
Bạn đọc
Tiêu dùng 365
Doanh nghiệp
Luật sư của bạn
thể thao
Tin tức cập nhật liên quan đến thể thao
Hãng xe thể thao Anh hơn 70 năm tuổi sắp gia nhập thị trường Việt Nam
Lotus, thương hiệu xe thể thao Anh với lịch sử hơn 70 năm, chuẩn bị gia nhập thị trường Việt Nam, bổ sung lựa chọn mới ở phân khúc hạng sang.
Tiêu dùng 365
Sở Văn hoá, Thể thao và Du Lịch Hải Phòng lên tiếng bảo vệ thương hiệu Pate Cột đèn Hải Phòng
Việc trùng tên giữa sản phẩm đóng hộp pate Cột đèn Hải Phòng (Công ty CP Đồ hộp Hạ Long sản xuất) với món Pate Cột Đèn Hải Phòng do tư nhân sản xuất đang gây hiểu nhầm trong dư luận, ảnh hưởng đến hoạt động kinh doanh, uy tín thương hiệu...
Công bố 10 sự kiện Văn hóa, Thể thao và Du lịch tiêu biểu năm 2025
Bộ Văn hóa, Thể thao và Du lịch công bố 10 sự kiện văn hóa, thể thao và du lịch tiêu biểu năm 2025, được tổng hợp từ hai hình thức bình chọn trực tiếp và trực tuyến.
'Above the Clouds - Người Việt trên mây' - lan tỏa tinh thần khám phá thể thao mạo hiểm
Talkshow “Above the Clouds - Người Việt trên mây” cho công chúng cái nhìn rõ nét về hoạt động của người Việt trong các môn thể thao mạo hiểm, đồng thời truyền cảm hứng phát triển bền vững và an toàn trong chinh phục các thử thách thiên nhiên.
Chiếc Porsche 911 Targa cổ nằm trong rừng thông 31 năm bất ngờ được 'khai quật'
Sau hơn 3 thập kỷ bị bỏ quên giữa rừng thông ở Idaho (Mỹ), một chiếc Porsche 911 Targa đời 1970 được phát hiện và tái sinh bởi một nhà sưu tầm xe cổ.
Toyota ra mắt HiLux 2026 - đối thủ đáng gờm của Ford Ranger
Với thiết kế mạnh mẽ, nội thất hiện đại và là phiên bản EV đầu tiên, HiLux 2026 được đánh giá là đối thủ đáng gờm của Ford Ranger
Porsche chào đón khách tới lái thử dàn xe thể thao
Tại sự kiện Cuối tuần cùng Porsche 2025, hãng xe Đức mời khách tham dự lái thử dàn xe thể thao sang trọng và tiện nghi.
Toyota gặp khó khi phát triển xe thể thao động cơ đặt giữa
Toyota GR Yaris M hứa hẹn hồi sinh MR2 huyền thoại với động cơ đột phá, nhưng dự án đang đối mặt nhiều thách thức lớn.
VinFast ra mắt xe máy điện Evo Grand với 2 pin có thể tháo rời, đi 262km/lần sạc
VinFast chính thức ra mắt dòng xe máy điện thông minh mới với 2 phiên bản Evo Grand và Evo Grand Lite, sở hữu thiết kế thời trang, thanh lịch và hỗ trợ tới 2 pin.
Xe ga 125cc của Honda giá 39 triệu đồng thiết kế thể thao đẹp như Air Blade, rẻ chỉ ngang Vision
Xe ga 125cc của Honda được mở bán với mức giá 39 triệu đồng, xe sở hữu thiết kể thể thao hơn cả Air Blade.
Khởi tố đối tượng buôn bán hơn 35.000 bộ quần áo thể thao giả nhãn hiệu lớn
Phòng Cảnh sát kinh tế Công an TP Hà Nội phát hiện đối tượng buôn bán hơn 35.000 bộ quần áo thể thao giả nhãn hiệu lớn.
Sao nhí từng 'gây bão' Bố ơi, mình đi đâu thế, hiện tại ra dáng thiếu nữ, mê mẩn môn thể thao quý tộc
Từng gây bão với hình ảnh sứt răng đáng yêu trong 2 mùa "Bố ơi, mình đi đâu thế", hiện tại Suti - con gái siêu mẫu Thúy Hạnh ra dáng thiếu nữ, mê chơi golf.
Bắt tạm giam nguyên Phó Giám đốc Sở Văn hóa, Thể thao và Du lịch tỉnh Bến Tre
Ông Nguyễn Thiện Chí – nguyên Phó Giám đốc Sở Văn hóa, Thể thao và Du lịch tỉnh Bến Tre cùng nguyên Hiệu trưởng, Phó hiệu trưởng Trường Năng khiếu Thể dục thể thao tỉnh này bị khởi tố vì gây thiệt hại ngân sách nhà nước trên 5,13 tỷ đồng.
Đồ uống thể thao có lợi gì khi tập luyện?
Ngày nay, nhiều người sử dụng đồ uống thể thao như một loại nước bổ sung sau khi tập luyện. Vậy, đồ uống thể thao thực sự có lợi ích gì?
Biểu cảm trái ngược của cặp song sinh nhà Hồ Ngọc Hà khi chơi pickleball
Lisa và Leon là cặp song sinh nhà Hồ Ngọc Hà được bố mẹ chăm chút, đầu tư chuẩn rich kids. Các bé chưa vào lớp 1 nhưng đã được làm quen với nhiều bộ môn thể thao và được học nhiều ngoại ngữ.
Tesla Roadster thế hệ thứ hai: Cơn sóng lớn sắp tấn công thị trường
Sau nhiều lần trì hoãn, Tesla Roadster thế hệ thứ hai sẽ ra mắt vào năm 2025, với giá từ 200.000 USD, hứa hẹn khuynh đảo ngành công nghiệp ô tô.
Ưu đãi đặc quyền chào đón dịp cao điểm nghỉ hè 2025 tại quần thể nghỉ dưỡng và thể thao Ruby Tree Golf Villas
Quần thể nghỉ dưỡng và thể thao Ruby Tree Golf Villas tại Đồ Sơn, Hải Phòng vừa công bố chương trình ưu đãi đặc quyền cho du khách đặt phòng đến hết tháng 5/2025.
Quần thể nghỉ dưỡng và thể thao Ruby Tree Golf Villas sẵn sàng đón làn sóng du khách đến Đồ Sơn
Kết hợp hoàn hảo giữa thiên nhiên bình yên của vùng biển Đồ Sơn, không gian nghỉ dưỡng tinh tế của những biệt thự, dịch vụ đáp ứng đầy đủ mọi nhu cầu và những hoạt động ngoài trời sôi động, Ruby Tree Golf Villas sẽ là điểm đến lý tưởng cho du khách dịp 30/4-1/5 và mùa hè này.
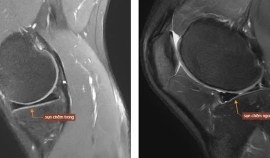
Nam thanh niên 22 tuổi ở Hà Nội suýt mất khả năng vận động vì chủ quan với dấu hiệu này trong lúc chơi thể thao
Rách sụn chêm quai xô là một tổn thương nặng, hiếm gặp ở người trẻ, cần can thiệp sớm để tránh biến chứng.
Nữ MC thể thao quê Tuyên Quang có đời thực bình yên bên chồng giàu có
MC Thu Hoài là người đẹp nổi tiếng quê Tuyên Quang, cô hiện tại là người dẫn chương trình thể thao ở kênh K+. Ngoài sự nghiệp ổn định, cô còn có cuộc sống bình yên bên chồng giàu có.
Hoa hậu Thể thao Đoàn Thu Thủy nói lý do 'mất tích' 2 năm qua
Sở hữu gương mặt đẹp cùng danh hiệu Hoa hậu Thể thao 2022 và Á hậu 4 Miss Global 2024 nhưng Đoàn Thu Thủy lại chọn cuộc sống bình yên thay vì nổi tiếng trong showbiz bằng ồn ào.
Toàn cảnh dự án công viên 1.250 tỷ đồng nhiều lần 'lỡ hẹn' ở Hà Đông
Dự án công viên văn hóa - vui chơi giải trí, thể thao Hà Đông (quận Hà Đông, TP Hà Nội) có tổng mức đầu tư trên 1.250 tỷ đồng, dự kiến hoàn thành vào năm 2027. Sau nhiều lần "lỡ hẹn", hiện tại, khu vực dự án vẫn chỉ là bãi đất trống, ngổn ngang rác thải, vật liệu xây dựng...
Xem thêm
POWERED BY
ONE
CMS
- A PRODUCT OF
NEKO