Thứ Sáu, 5/12/2025
Mới nhất
Multimedia
Đời sống
Horoscope
Pháp luật
Bạn đọc
Tiêu dùng 365
Doanh nghiệp
Luật sư của bạn
Mới nhất
Multimedia
Đời sống
Horoscope
Pháp luật
Bạn đọc
Tiêu dùng 365
Doanh nghiệp
Luật sư của bạn
thủng ruột
Tin tức cập nhật liên quan đến thủng ruột
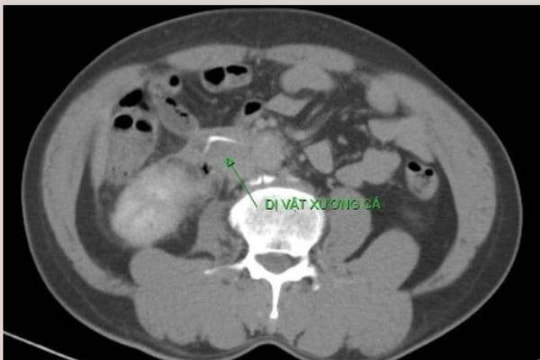
Cụ ông 80 tuổi thủng ruột do xương cá
Một cụ ông 80 tuổi nhập viện trong tình trạng đau bụng dữ dội, tính mạng nguy kịch. Nguyên nhân được các bác sĩ tìm thấy sau đó lại là một vật vô cùng quen thuộc trong bữa ăn hàng ngày, một mối nguy hiểm mà rất nhiều người thường bỏ qua và xử lý sai cách.
Đời sống
Cứu sống bệnh nhân bị xương cá đâm thủng ruột thừa hiếm gặp
Nam bệnh nhân 46 tuổi, trú tại huyện Đô Lương (Nghệ An), nhập viện trong tình trạng đau bụng dữ dội. Các bác sĩ đã nhanh chóng phẫu thuật, phát hiện dị vật nghi là xương cá đâm xuyên ruột thừa, gây viêm phúc mạc - một trường hợp hiếm gặp, có thể đe dọa tính mạng nếu không xử lý kịp thời.
Nuốt phải xương gà, nhiều người bị thủng ruột non
Theo các bác sĩ, nuốt phải xương gà, xương cá hoặc dị vật sắc nhọn... có thể gây thủng ruột, viêm phúc mạc, thậm chí nguy hiểm đến tính mạng.
Người phụ nữ ở Cao Bằng bị thủng ruột non vì một sai lầm sau bữa ăn nhiều người Việt mắc phải
Các bác sĩ phát hiện một lỗ thủng trên ruột non do một que tăm tre sắc nhọn gây ra, dẫn đến viêm phúc mạc. Đây là một biến chứng nguy hiểm đe dọa tính mạng.
Nuốt 27 cục nam châm, bé gái 2 tuổi bị thủng đường tiêu hóa nhiều chỗ
Bé gái 2 tuổi bị thủng đường tiêu hóa nhiều vị trí do nuốt 27 cục nam châm đã được bệnh viện Nhi đồng Đồng Nai cấp cứu thành công.
Trẻ 22 tháng tuổi thủng ruột, sốc nhiễm khuẩn do nuốt phải hạt táo đỏ
Nuốt phải hạt táo đỏ, bệnh nhi 22 tháng tuổi ở Quảng Ninh phải nhập viện cấp cứu trong tình trạng thủng ruột, sốc nhiễm khuẩn.
Đau bụng, bé 3 tuổi ở TPHCM đi khám phát hiện thủng nhiều đoạn ruột vì nuốt 31 viên nam châm đồ chơi
Quá trình phẫu thuật nội soi ổ bụng, bác sĩ ghi nhận ruột thủng nhiều nơi, ổ bụng nhiều phân, giả mạc, tách dính ruột, ghi nhận nhiều viên nam châm (giống hạt cườm) dính nhau.
Đau dữ dội sau ăn yến chưng, đi khám phát hiện dị vật là hạt táo đỏ
Đau dữ dội vùng quanh rốn, bụng chướng, kèm sốt sau ăn món yến chưng, người phụ nữ đi khám phát hiện dị vật dài 2cm là hạt táo đỏ trong món yến chưng.
Thủng trực tràng, nguy hiểm tính mạng do thói quen sau bữa ăn của rất nhiều người Việt
GĐXH – Bệnh nhân có dị vật là chiếc tăm dài 7cm đi gần hết ống tiêu hóa, từ cổ họng, thực quản, dạ dày, ruột non và đâm thủng ở đại tràng, gây chảy dịch tiêu hóa vào ổ bụng…
Thanh niên 20 tuổi ở Vĩnh Phúc thủng ruột non do gặp sự cố khi ăn lẩu
Bác sĩ đã phát hiện 2 dị vật trong lòng ruột bệnh nhân, chọc thủng thành ruột gây tình trạng nhiễm trùng trong ổ bụng.
Thủng ruột non do nuốt phải dị vật khi ăn lẩu
Sau bữa ăn lẩu, nam thanh niên 20 tuổi đau bụng âm ỉ, vài ngày sau sốt, vào viện thăm khám được đưa đi mổ cấp cứu.
Người đàn ông 55 tuổi ở Phú Thọ bất ngờ bị thủng ruột sau khi ăn cơm cá
Đi khám vì đau bụng, người đàn ông ở Phú Thọ được phát hiện có dị vật đường tiêu hóa xuyên thủng thành ruột. Bác sĩ nghi ngờ dị vật là xương cá từ bữa ăn trước đó.
Cấp cứu bệnh nhân thủng ruột do uống thuốc còn nguyên vỉ
Liên tiếp 3 bệnh nhân nhập viện vì nhiễm trùng ổ bụng, thủng ruột do uống thuốc còn nguyên vỉ.
Nam thanh niên bị thủng ruột non vì vô tình nuốt tăm tre
PLBĐ - Bệnh nhân sử dụng tăm tre xỉa răng sau khi ăn và vô tình nuốt phải tăm tre mà không hề hay biết dẫn đến tình trạng bị thủng ruột.
Cấp cứu thành công bệnh nhân thủng ruột do nuốt xương cá
PLBĐ - Xương cá nằm trong ổ bụng của bệnh nhân 52 tuổi, đâm thủng ruột non dẫn đến tình trạng viêm phúc mạc.
Cứu sống một ngư dân bị xương cá đâm thủng ruột
PLBĐ - Bệnh viện Quân y 175 đã tiếp nhận nam bệnh nhân là ngư dân tàu cá được chuyển từ Trung tâm Y tế Trường Sa (huyện Trường Sa, tỉnh Khánh Hòa) về đất liền bằng tàu thủy trong tình trạng có dị vật ở vị trí tá tràng, gây biến chứng nguy hiểm.
Một người phụ nữ bị thủng ruột do ăn măng cụt rừng không bỏ hạt
PLBĐ - Bệnh viện đa khoa tỉnh Cao Bằng vừa tiếp nhận bệnh nhân nữ H.T.Đ trú tại Thành phố Cao Bằng đến nhập viện trong tình trạng đau bụng nhiều ở vùng hạ vị 3 ngày nay, được người nhà đưa đến khám và điều trị.
Cấp cứu cùng lúc cho 2 bé trai nuốt đinh nhọn suýt thủng ruột non
Ngày 18/12, Bệnh viện Nhi đồng 2 (TP.HCM) cho biết các bác sĩ cùng lúc nội soi, gắp đinh nhọn từ ổ bụng cho 2 bé trai 9 tuổi và 15 tuổi.
Bé gái nuốt tăm dài 5cm suýt thủng ruột
Trong lúc bà đi pha sữa, bé một tuổi không may nuốt phải cây tăm dài 5cm suýt thủng ruột.
Ăn lẩu, nam bệnh nhân bị xương cá đâm thủng ruột
Người đàn ông nhập viện cấp cứu trong tình trạng bụng đau quặn từng cơn và sốt được các sĩ xác định bị chiếc xương cá dài 2,5 cm đâm thủng ruột.
Nuốt nam châm đồ chơi, bé gái 1 tuổi bị thủng ruột
Tai nạn xảy ra khi bé gái này đang chơi cùng một bé hàng xóm 5 tuổi, cô bé thấy tò mò với những viên nhỏ sắc màu nên cho vào miệng nuốt.
Bé trai bị cây tăm dài 5cm đâm thủng ruột
Khi mổ nội soi, ê kíp bất ngờ phát hiện trong túi thừa ruột non của bệnh nhân có que tăm nhọn dài 5 cm.
Xem thêm
POWERED BY
ONE
CMS
- A PRODUCT OF
NEKO