Thứ Ba, 12/5/2026
Mới nhất
Multimedia
Đời sống
Horoscope
Pháp luật
Bạn đọc
Tiêu dùng 365
Doanh nghiệp
Luật sư của bạn
Mới nhất
Multimedia
Đời sống
Horoscope
Pháp luật
Bạn đọc
Tiêu dùng 365
Doanh nghiệp
Luật sư của bạn
thuốc giảm cân
Tin tức cập nhật liên quan đến thuốc giảm cân
Bắt cặp vợ chồng cầm đầu đường dây sản xuất thực phẩm chức năng giảm cân chứa chất cấm
Vợ chồng Trần Thị Như Hảo và Nguyễn Trọng Anh đã tổ chức sản xuất, buôn bán thực phẩm chức năng giảm cân Emo's chứa chất cấm Sibutramine, có khả năng gây nguy hiểm cho tim mạch như đau tim và loạn nhịp tim.
Pháp luật
Nữ DJ quảng cáo sản phẩm giảm cân nghi có chất cấm, đang bị cơ quan chức năng kiểm tra là ai?
Các sản phẩm giảm cân do DJ Ngân 98 quảng cáo đang gây xôn xao thời gian qua vì nghi chứa chất cấm.
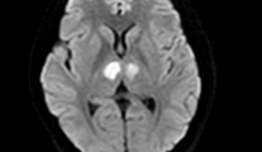
Người phụ nữ 21 tuổi ở Hà Nội bị tổn thương não nặng, thừa nhận sai lầm uống thuốc giảm cân mua trên mạng xã hội
Người phụ nữ 21 tuổi rơi vào tình trạng bất tỉnh, tổn thương não nặng do uống thuốc, thực phẩm chức năng giảm cân không rõ nguồn gốc.
Bất ngờ với 2 loại tinh bột chứa chất "như thuốc giảm cân"
Các nhà khoa học Mỹ và Áo đã tìm ra thứ có thể hỗ trợ kiểm soát đường huyết, giảm cân, giảm mỡ cực tốt trong 2 nguồn tinh bột quen thuộc.
7 chất bổ sung cần tránh nếu bạn đang dùng thuốc giảm cân
Việc dùng thuốc giảm cân cùng với một số chất bổ sung có thể gây ra tương tác bất lợi hoặc gây ra các tác dụng phụ nghiêm trọng hơn...
Cô gái 26 tuổi tổn thương não sau 10 ngày uống thuốc giảm cân mua trên mạng
Người phụ nữ 26 tuổi đột ngột mất thị lực, tổn thương não sau 10 ngày uống thuốc giảm cân. Các bác sĩ chẩn đoán bệnh nhân ngộ độc chất cấm Sibutramine có trong sản phẩm chị mua trên mạng.
Uống nhầm thuốc giảm cân của chị gái mua trên mạng, bé 3 tuổi phải nhập viện cấp cứu
Sau khi ăn nhầm 7/14 viên thuốc giảm cân được chị gái mua ở trên mạng về, bé gái nôn nhiều, đau bụng, đi ngoài phân lỏng, được đưa đi cấp cứu.
Phẫu thuật thu nhỏ dạ dày để giảm béo
PLBĐ - Theo GS Trần Bình Giang – giám đốc Bệnh viện Hữu nghị Việt Đức, từ năm 2004, tại BV Hữu nghị Việt Đức các bác sĩ đã lên kế hoạch về việc điều trị cho bệnh béo phì trong tương lai bằng phương pháp phẫu thuật thu nhỏ dạ dày.
Cảnh báo: Nguy cơ nhiễm độc thuốc giảm cân khi tự ý sử dụng
PGS.TS Trần Thị Thanh Hóa - nguyên Phó Giám đốc BV Nội tiết Trung ương cho biết: "Giảm cân là một quá trình diễn ra lâu dài liên quan đến chuyển hóa trong cơ thể, đòi hỏi phải kết hợp nhiều biện pháp. Các quảng cáo giảm cân mà "không cần giảm ăn, không cần luyện tập" là quảng cáo thất thiệt hoàn toàn, không đáng tin cậy".
Xem thêm
POWERED BY
ONE
CMS
- A PRODUCT OF
NEKO