Thứ Hai, 15/12/2025
Mới nhất
Multimedia
Đời sống
Horoscope
Pháp luật
Bạn đọc
Tiêu dùng 365
Doanh nghiệp
Luật sư của bạn
Mới nhất
Multimedia
Đời sống
Horoscope
Pháp luật
Bạn đọc
Tiêu dùng 365
Doanh nghiệp
Luật sư của bạn
bé 3 tuổi
Tin tức cập nhật liên quan đến bé 3 tuổi
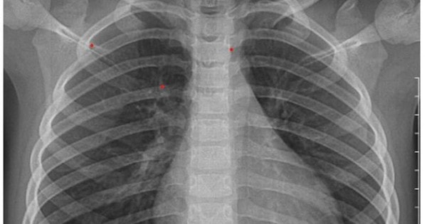
Bé 3 tuổi ở Hà Nội đối diện với loạt biến chứng nguy hiểm do cúm B từ dấu hiệu nhiều trẻ em Việt mắc phải
Bệnh nhi nhập viện do biến chứng cúm B với các triệu chứng sốt cao 38,5°C, ho có đờm, nghẹt mũi, sổ mũi. Gia đình cho dùng thuốc hạ sốt, kháng sinh... nhưng tình trạng không cải thiện.
Đời sống
Góc camera khác vụ bé 3 tuổi chạy về gọi bố mẹ cứu bạn rơi xuống hố sâu: Dân tình lại thêm trầm trồ
Ở góc quay khác cho thấy cảnh Phong cùng bạn đang chơi ở một công trình xây dựng gần nhà, bất ngờ người bạn trượt chân, lọt xuống hố.
Bé 3 tuổi bất ngờ nguy kịch vì bị hoại tử ruột, xoắn ruột từ dấu hiệu đau bụng, nôn ói
Trước khi nhập viện vì bị xoắn ruột, bé K có biểu hiện buồn nôn và bắt đầu nôn ói kèm theo đau bụng.
Sau việc bé 3 tuổi bị đuối nước nguy kịch, bác sĩ chỉ rõ cần tránh những sai lầm đáng tiếc
Tuyệt đối không hơ lửa cho trẻ khi bị đuối nước vì có thể gây bỏng, gây tụt huyết áp do giãn mạch. Không xốc nước vì không có hiệu quả và làm chậm trễ thời gian cấp cứu trẻ...
Lời khai của cô gái trẻ nghi bắt cóc bé 3 tuổi ở Hải Phòng ‘vì thích trẻ em, muốn đem về nuôi’
Bước đầu làm việc, cơ quan chức năng xác định, đối tượng Đồng Thị Hà Thu bắt cóc bé gái mầm non ở Hải Phòng do 'thích trẻ em, muốn chiếm đoạt và sẽ tính thuê địa điểm để ở và nuôi cháu'.
Tin tối 14/1: Thông tin mới nhất vụ bé 3 tuổi nghi bị bắt cóc tại trường Mầm non ở Hải Phòng; cháy nhà trong đêm, 5 người may mắn thoát nạn
Theo cơ quan chức năng, người phụ nữ áo đen đưa bé gái đi là đối tượng có biểu hiện không bình thường; vụ cháy nhà vừa xảy ra trong đêm tại Ninh Bình, rất may cả 5 người trong gia đình đã kịp thức giấc, thoát ra ngoài.
Bé 3 tuổi nguy kịch do bị dây mũ áo mắc vào cầu trượt thắt ngang cổ, bác sĩ chỉ ra nguy cơ và cách phòng tránh
Đang chơi cầu trượt, trẻ không may bị mũ áo mắc vào thành cầu trượt, dây mũ áo rút lại khiến trẻ bị giữ ở tư thế ngạt thở.
Đau bụng, bé 3 tuổi ở TPHCM đi khám phát hiện thủng nhiều đoạn ruột vì nuốt 31 viên nam châm đồ chơi
Quá trình phẫu thuật nội soi ổ bụng, bác sĩ ghi nhận ruột thủng nhiều nơi, ổ bụng nhiều phân, giả mạc, tách dính ruột, ghi nhận nhiều viên nam châm (giống hạt cườm) dính nhau.
Bé 3 tuổi ở Bắc Giang bị viên pin cúc ăn mòn cuốn mũi và vách ngăn mũi
Các bác sỹ đã nội soi và gắp ra dị vật là viên pin cúc đã ăn mòn cuốn mũi và vách ngăn mũi của trẻ. Rất may là trẻ chưa bị thủng vách ngăn mũi.
Cặp tình nhân ép bé 3 tuổi hút ma túy lĩnh án
TP HCM - Sau nửa năm điều tra bổ sung, Lê Văn Bậm và người tình Nguyễn Thảo Nguyên bị xét xử vì hành hạ bé trai 3 tuổi, ép hút ma túy rồi quay clip "để giải trí".
Bé 3 tuổi ngộ độc chì nặng, tiên lượng xấu do dùng thuốc nam không rõ nguồn gốc
GĐXH – Theo các bác sĩ, chì là 1 loại kim loại nặng, rất độc gây ảnh hưởng đến tất cả cơ quan của con người, đặc biệt là đối với trẻ em.
Bé 3 tuổi bị que xiên thịt đâm xuyên lưỡi
Bệnh nhi nhập viện trong tình trạng chiếc que xiên thịt sắc nhọn đâm xuyên lưỡi.
Uống nhầm thuốc giảm cân của chị gái mua trên mạng, bé 3 tuổi phải nhập viện cấp cứu
Sau khi ăn nhầm 7/14 viên thuốc giảm cân được chị gái mua ở trên mạng về, bé gái nôn nhiều, đau bụng, đi ngoài phân lỏng, được đưa đi cấp cứu.
Điều tra vụ sát hại bé 3 tuổi tại huyện Sóc Sơn, Hà Nội
Cơ quan Cảnh sát điều tra, Công an Hà Nội đang phối hợp với Công an huyện Sóc Sơn điều tra, làm rõ vụ trọng án xảy ra tại xã Xuân Giang.
Bé 3 tuổi bị khỉ bắt cóc lên cây trên rìa vách đá cao 30 m
Bé gái ba tuổi người Trung Quốc bị khỉ bắt cóc trong rừng khi theo bố mẹ đi làm và được tìm thấy vắt vẻo gần vách đá cheo leo.
Bé 3 tuổi bị não úng thủy phải nhập điều trị tiếp
GĐXH - Những khoản hỗ trợ của mọi người đã giúp bé Minh được phẫu thuật kịp thời. Tuy nhiên, bé Minh mới đây tiếp tục phải nhập viện để điều trị tại Bệnh viện Nhi Trung ương. Hiện sức khỏe của Hải Minh yếu hơn.
Xét xử kẻ bạo hành, đóng đinh vào đầu cháu bé 3 tuổi
PLBĐ - TAND TP. Hà Nội sẽ đưa ra xét xử bị cáo Nguyễn Trung Huyên - kẻ bạo hành, đóng đinh vào đầu cháu bé 3 tuổi khiến nạn nhân tử vong, về hai tội Giết người và Cố ý gây thương tích.
Sắp xét xử nghi phạm đóng 10 cây đinh vào đầu cháu bé 3 tuổi
Từ những căn cứ thu thập được, cơ quan công an xác định Nguyễn Trung Huyên (người tình của mẹ cháu bé 3 tuổi) đã nhiều thủ đoạn khác nhau như bắt nuốt đinh, đánh gãy tay và đóng đinh vào vùng đầu nạn nhân.
Khởi tố vụ thầy giáo ngồi uống nước, học viên tập lái tông bé 3 tuổi tử vong ở Nam Định
PLBĐ - Cơ quan CSĐT Công an huyện Hải Hậu (Nam Định) đã khởi tố vụ án và 2 bị can trong vụ nữ học viên điều khiển ô tô tông bé 3 tuổi tử vong.
Vụ cháu bé 3 tuổi bị nhốt trong tủ đông: Điều kỳ diệu nào giúp cháu bé sống sót?
Sự việc cháu bé ở Hà Nam bị giấu vào thùng carton, bỏ vào tủ cấp đông, chèn túi đá lạnh khiến nhiều người vẫn chưa hết bàng hoàng, lo lắng. Câu hỏi đặt ra điều kỳ diệu nào giúp cháu bé vẫn sống sót? Cơ thể người bị nhốt trong tủ đông bao lâu thì tử vong?
Chuyên gia cấp cứu, hồi sức nói gì về vụ bé 3 tuổi bị nhốt vào tủ cấp đông?
Các chuyên gia cấp cứu và hồi sức nhi khoa cho rằng việc nhốt trẻ vào tủ cấp đông nếu không được phát hiện kịp thời sẽ dẫn đến thiếu oxy gây ngạt, làm thân nhiệt hạ sâu từ đó sẽ gây rối loạn chuyển hoá trong cơ thể, dẫn tới suy chức năng các cơ quan, gây tử vong.
Đối tượng bạo hành, bỏ cháu bé 3 tuổi vào tủ đông ở Hà Nam sẽ bị xử lý thế nào?
PLBĐ - Thông tin bé trai 3 tuổi bị hàng xóm hành hung, giấu vào tủ cấp đông ở Hà Nam đang khiến dư luận bàng hoàng và phẫn nộ. Nhiều người thắc mắc với hành vi tàn ác này, đối tượng sẽ bị xử lý như thế nào?
Xem thêm
POWERED BY
ONE
CMS
- A PRODUCT OF
NEKO