Thứ Năm, 12/3/2026
Mới nhất
Multimedia
Đời sống
Horoscope
Pháp luật
Bạn đọc
Tiêu dùng 365
Doanh nghiệp
Luật sư của bạn
Mới nhất
Multimedia
Đời sống
Horoscope
Pháp luật
Bạn đọc
Tiêu dùng 365
Doanh nghiệp
Luật sư của bạn
bệnh viện bạch mai
Tin tức cập nhật liên quan đến bệnh viện bạch mai
Duyệt đăng tin sai về BV Bạch Mai, quản trị viên nhóm Facebook bị phạt 7,5 triệu đồng
Công an TP Hà Nội vừa xử lý một quản trị viên mạng xã hội do phê duyệt đăng tải bài viết sai sự thật liên quan đến hoạt động khám, chữa bệnh tại Bệnh viện Bạch Mai.
Pháp luật
Bịa chuyện về bác sĩ nội trú để bán hàng online
Phòng An ninh chính trị nội bộ, Công an TP Hà Nội vừa xử lý một trường hợp đăng tải thông tin sai sự thật về bác sĩ nội trú tại Bệnh viện Bạch Mai.
Người phụ nữ 77 tuổi nguy kịch, bụng căng như trống, nôn ra dịch xanh từ 1 thứ bé bằng đầu ngón tay nhiều người mắc phải
Những cơn đau bụng quặn thắt bất thường khiến bà Nguyễn Thị T. (77 tuổi, Hà Nội) vật vã. Khi bụng bà chướng căng như trống, nôn ra dịch xanh lục, người nhà vội đưa bà đến Bệnh viện Bạch Mai.
Xử phạt 3 cá nhân đăng thông tin sai sự thật về Bệnh viện Bạch Mai
Công an TP Hà Nội đã xử lý 3 trường hợp đăng tải, chia sẻ thông tin sai sự thật liên quan đến công tác xử lý rác thải của Bệnh viện Bạch Mai trên mạng xã hội Facebook.
Bệnh viện Bạch Mai mời tham dự và báo cáo tại Hội nghị khách hàng Cung cấp dịch vụ vận hành, quản lý tòa nhà
Kính gửi: Quý Công ty
Người đàn ông 42 tuổi mang khối u nặng 3,6kg trong lồng ngực mà không biết
Khối u trung thất khổng lồ, có kích thước lên tới 30x20 cm, nặng 3,6 kg. Đây là một trong những khối u lớn hiếm gặp trong y văn, đe dọa nghiêm trọng đến chức năng hô hấp của người bệnh.
Trầm cảm ở tuổi vị thành niên: 'Ngòi nổ' âm thầm hủy hoại tâm hồn trẻ
Trầm cảm ở tuổi vị thành niên luôn để lại những hệ lụy đau lòng. Câu chuyện từ 2 ca lâm sàng tại bệnh viện được các chuyên gia phân tích, cảnh báo thực sự đáng suy ngẫm.
Người phụ nữ 33 tuổi bị đột quỵ, bác sĩ chỉ rõ sai lầm khi dùng thuốc tránh thai
Trung tâm Đột quỵ, Bệnh viện Bạch Mai mới tiếp nhận bệnh nhân nữ 33 tuổi. Khai thác bệnh sử, bệnh nhân cho biết đang sử dụng thuốc tránh thai được khoảng 3 tháng.
Đề xuất giãn thời gian tăng thuế thu nhập đặc biệt thêm 2 năm
VCCI đề xuất cân nhắc thời gian tăng thuế tiêu thụ đặc biệt từ năm 2026 sang 2028, để tránh tác động bất lợi đến thị trường và doanh nghiệp.
Cảnh báo tình trạng giả mạo Bộ Y tế mở hàng loạt khóa đào tạo tâm lý cho trẻ em để lừa đảo
Thời gian gần đây, mạng xã hội xuất hiện một số fanpage giới thiệu các khóa học đào tạo tâm lý miễn phí cho phụ huynh, tuy nhiên, theo Cục Bà mẹ và Trẻ em, Bộ Y tế không có các fanpage và các chương trình đào tạo như trên.
Đình chỉ lưu hành, thu hồi kem giảm thâm nách và khử mùi Cléo
Sở Y tế Hà Nội vừa đề nghị các cơ sở kinh doanh, sử dụng mỹ phẩm trên địa bàn khẩn trương rà soát, ngừng ngay việc kinh doanh, sử dụng lô sản phẩm kem giảm thâm nách và khử mùi Cléo.
Cảnh báo chiêu trò đặt lịch khám tại 'Bệnh viện Bạch Mai', người tiêu dùng mất tiền triệu
Bệnh viện Bạch Mai vừa phát đi cảnh báo về trường hợp một số khách hàng, người bệnh mất nhiều tiền để đặt lịch khám, đến khi đến Bệnh viện Bạch Mai mới té ngửa mình bị lừa.
Người phụ nữ 48 tuổi bị nhiễm não mô cầu, bác sĩ chỉ ra những nguy cơ có thể dẫn đến tử vong
Từ TP.HCM về Hà Nam ăn Tết, người phụ nữ 48 tuổi có biểu hiện sốt rét, đau đầu nên được gia đình đưa đi bệnh viện và có kết quả dương tính với vi khuẩn não mô cầu.
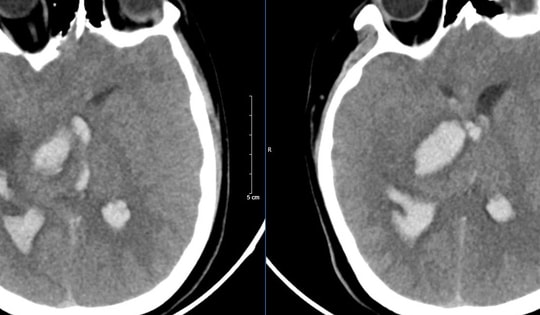
Bệnh nhân 15 tuổi tử vong sau khi bị đau đầu đột ngột, bác sĩ cảnh báo các dấu hiệu cần đến bệnh viện ngay
Bị đau đầu, tê hoặc yếu tay chân, người bệnh được đưa đến viện nhưng vẫn tử vong hoặc cứu được thì cũng để lại di chứng nặng nề nguyên nhân là do dị dạng mạch máu não.
Cứu chữa thành công ca gãy cột sống cổ phức tạp bằng phẫu thuật nội soi
Y học Việt Nam vừa có thêm kỳ tích mới khi một bệnh viện đã điều trị thành công ca gãy cột sống cổ phức tạp bằng phương pháp phẫu thuật nội soi.
Bệnh viện Bạch Mai cứu sống cụ ông 103 tuổi bị đột quỵ cao tuổi nhất từ trước đến nay
GĐXH – Theo các bác sĩ, với các ca đột quỵ thông thường, việc đưa ra phác đồ tiêu huyết khối kết hợp với can thiệp mạch không phải là điều khó khăn. Tuy nhiên, việc áp dụng cả 2 phương pháp này trên bệnh nhân 103 tuổi là một thách thức vô cùng lớn.
Thu nhỏ cánh tay cho bệnh nhân phù bạch mạch, bác sĩ chỉ ra các dấu hiệu dễ nhận biết bệnh
Bệnh nhân nữ 67 tuổi tại Hà Nội đã được tiến hành điều trị sưng viêm, phù bạch mạch và thu nhỏ cách tay giúp thuận tiện trong vận động, di chuyển.
Cập nhật tiến bộ y khoa trong điều trị rung nhĩ, mang giải pháp điều trị phù hợp nhất đến cho người bệnh
Đây là nội dung được các chuyên gia đầu ngành trong lĩnh vực tim mạch can thiệp thảo luận trong Hội thảo khoa học “Quản lý rung nhĩ: Từ điện đồ đến triệt đốt rung nhĩ bền bỉ” vừa được Bệnh viện Việt Pháp tổ chức.
Sụt 4kg trong hai tháng, đi khám phát hiện bụng có khối u 1kg
Cô gái 23 tuổi thường xuyên có biểu hiện chán ăn, sút gần 4kg chỉ trong 2 tháng, đi khám mới biết đó là khối u 1kg.
Sức khỏe bé gái sống sót trong trận lũ quét Làng Nủ hiện ra sao?
Sau 2 tuần được điều trị và chăm sóc tích cực tại Bệnh viện Bạch Mai, bé tỉnh táo, có thể nói chuyện, ăn qua sonde.
Bệnh viện Bạch Mai hội chẩn với chuyên gia Nhật Bản tìm ra phương pháp điều trị hiệu quả nhất cứu bé gái 11 tuổi vụ sạt lở ở Làng Nủ
Bệnh nhi Mông Hoàng Thảo Ng. (nữ, 11 tuổi), dân tộc Tày là nạn nhân trong vụ sạt lở do lũ quét tại bản Làng Nủ - Phúc Khánh - Bảo Yên - Lào Cai.
Một nạn nhân vụ lũ quét ở Làng Nủ không qua khỏi
Nam thanh niên gặp nạn trong vụ lũ quét vùi lấp cả bản ở Lào Cai được chuyển đến Bệnh viện Bạch Mai điều trị nhưng đã không qua khỏi.
Xem thêm
POWERED BY
ONE
CMS
- A PRODUCT OF
NEKO