Thứ Hai, 15/12/2025
Mới nhất
Multimedia
Đời sống
Horoscope
Pháp luật
Bạn đọc
Tiêu dùng 365
Doanh nghiệp
Luật sư của bạn
Mới nhất
Multimedia
Đời sống
Horoscope
Pháp luật
Bạn đọc
Tiêu dùng 365
Doanh nghiệp
Luật sư của bạn
can thiệp kịp thời
Tin tức cập nhật liên quan đến can thiệp kịp thời
Nhận thức đúng, can thiệp kịp thời giúp trẻ tự kỷ sớm hòa nhập cộng đồng
Theo các chuyên gia, dù không thể "chữa khỏi" nhưng tự kỷ hoàn toàn có thể được hỗ trợ hiệu quả nếu có nhận thức đúng và hành động đúng từ gia đình, nhà trường và xã hội.
Đời sống
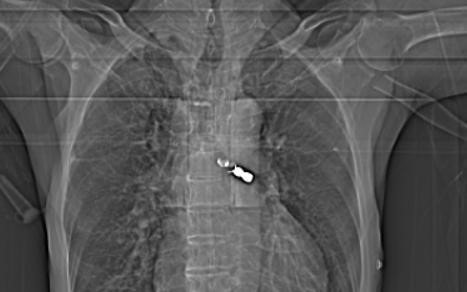
Cụ ông 92 tuổi đi làm răng, bị răng giả rơi vào phế quản
PLBĐ - Bệnh viện đa khoa tỉnh Phú Thọ thông tin, các bác sĩ Khoa Nội Hô hấp – Tiêu hóa bệnh viện vừa kịp thời cấp cứu gắp chiếc răng giả trong phế quản của bệnh nhân H. 92 tuổi do bệnh nhân nuốt phải trong quá trình làm răng.
POWERED BY
ONE
CMS
- A PRODUCT OF
NEKO